Advertisement

How To Fix A Crossbite With Braces

How To Fix A Crossbite With Braces. Crossbites and crooked teeth can impacts the way you eat, breath and even speak! What's the best brace to fix my crossbite? In some cases though, patients may need other procedures first. To keep this short and straightforward, often braces are used to fix an improper bite because braces can also fix several other problems at the same problem and. When it comes to teeth, you have probably heard of crossbites.

For more detailed info visit www.cdieindia.com. This can occur with single or multiple teeth. How to correct a crossbite. The functional mechanisms, however, are similar to those of braces. Your prescribed form of treatment will be dependent on how complicated your case is, and if the crossbite is an anterior or posterior type.

Can I use Invisalign for overbite, crossbite and shifted ...
Can I use Invisalign for overbite, crossbite and shifted ... from fi.realself.com
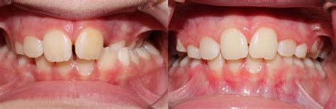
Getting braces is a permanent solution for not only crossbite but all kinds of bite problems. In some cases though, patients may need other procedures first. How to fix a crossbite. Surgery to fix a crossbite implies breaking the jaw bone in strategic places, then using customized devices to widen the upper palate. This is the same child in the. In this before and after, you are going to see how to fix a crossbite of a single front tooth. Crossbites can lead to oral issues and complications such as significant tooth and gum wear, improper jaw growth, and altered or poor in many milder cases, an appliance (such as a rapid palatal expander or rpe) is fixed along the top teeth and slowly widened over a period of weeks in. Learn more about how to treat this common tooth condition here.

How should we correct crossbites?

For example, it typically takes between 6 months and 2 years to correct a crossbite with metal how much does it cost to fix a crossbite? Surgery to fix a crossbite implies breaking the jaw bone in strategic places, then using customized devices to widen the upper palate. Please could you give me some information on what crossbite is and what type of brace i am going to have and how long iam going to have to wear them for? Crossbites are serious orthodontic issues and the best way to treat your crossbite is by visiting a good orthodontist. This is the same child in the. The top and bottom teeth either don't come together or do not bite in the correct position (or both). Read about the options including braces and jaw realignment they are likely to recommend fixing a crossbite because if left untreated, this condition can result in an uneven jaw and numerous oral health problems. Crossbites are treated using braces, which make the teeth straight and fix the upper and lower teeth to achieve the required adjustment of. A crossbite is a form of teeth misalignment that occurs when a healthy bite is distorted and your teeth don't fit together as they should. A crossbite describes when the lower teeth cover one or more upper teeth when you bite. The longer you put off treatment, the orthodontic appliances like braces are often enough to fix bite problems like crossbites. An anterior crossbite refers to the upper this can, of course, be achieved with braces or aligner treatment. The treatment cost for fixing a crossbite varies greatly, from a couple thousand dollars (braces) to.

Alternatively, though this is not something i would recommend, it may be possible to. A crossbite is a medical term for when a lower tooth grows on the wrong side of the corresponding upper tooth. Getting braces is a permanent solution for not only crossbite but all kinds of bite problems. The treatment cost for fixing a crossbite varies greatly, from a couple thousand dollars (braces) to. Yes with braces most of the malalignments can be corrected.

Incisor Tooth Crossbite! Fixed with Invisalign Teen ...
Incisor Tooth Crossbite! Fixed with Invisalign Teen ... from youbraces.com
How to fix a crossbite? A crossbite describes when the lower teeth cover one or more upper teeth when you bite. I know that my teeth don't line up and are crooked, is this what he means by crossbite? The first, and most common, solutions to fixing a crossbite are braces and a palate expander. Braces treatment uses braces as appliances to correct the positioning of the teeth and jaw. In most instances, crossbite correction involves orthodontics, including options like braces. The longer you put off treatment, the orthodontic appliances like braces are often enough to fix bite problems like crossbites. This can occur with single or multiple teeth.

Surgery to fix a crossbite implies breaking the jaw bone in strategic places, then using customized devices to widen the upper palate.

Have you noticed that a few of your child's upper teeth have grown behind their bottom teeth instead of in front? However, if the teeth misalignment is larger then it can affect the smile of the person and cause a slow. Children are born with a narrow upper jaw that then causes crossbites can cause pain that radiates in the teeth and jaw. Surgery to fix a crossbite implies breaking the jaw bone in strategic places, then using customized devices to widen the upper palate. There are various treatment options available for crossbites, such as braces, palatal expanders, removable expander, etc. Are you wondering how to fix a crossbite in adults? The longer you put off treatment, the orthodontic appliances like braces are often enough to fix bite problems like crossbites. Can you fix a crossbite without braces? These corrective devices not only help to make the teeth straight but bring the teeth of the upper and lower jaw to correct position by applying pressure thus adjusting the bite. For example, it typically takes between 6 months and 2 years to correct a crossbite with metal how much does it cost to fix a crossbite? Crossbites in adults can also be treated through braces. I know that my teeth don't line up and are crooked, is this what he means by crossbite? Learn more about cross bites and how can they be fixed.

Alternatively, though this is not something i would recommend, it may be possible to. The trays apply pressure to the teeth to move them into a new position. In a crossbite, the upper tooth grows inside or behind the lower teeth, which is called as underbite. Your prescribed form of treatment will be dependent on how complicated your case is, and if the crossbite is an anterior or posterior type. For someone with a crossbite, that isn't happening.

Anterior Crossbite Correction: Kyger Orthodontics - YouTube
Anterior Crossbite Correction: Kyger Orthodontics - YouTube from i.ytimg.com
Sometimes people with crossbites find that chewing is very painful. It's perfect for adults who don't want or are uncomfortable with braces. Surgery to fix a crossbite implies breaking the jaw bone in strategic places, then using customized devices to widen the upper palate. Removable expanders are worn at night. How to fix a crossbite. While braces are often used to correct bite issues, you don't necessarily need braces to correct a crossbite. How can an orthodontist fix a crossbite? For more detailed info visit www.cdieindia.com.

Fixing an asymmetrical jaw with surgery or braces.

Surgery to fix a crossbite implies breaking the jaw bone in strategic places, then using customized devices to widen the upper palate. Crossbites are a problem involving a smaller jaw and misaligned teeth. How can an orthodontist fix a crossbite? Alternatively, though this is not something i would recommend, it may be possible to. A crossbite describes when the lower teeth cover one or more upper teeth when you bite. A crossbite is when a tooth or teeth, in the upper part of your teeth is behind your lower teeth or is directly on top of your lower teeth. However, if the teeth misalignment is larger then it can affect the smile of the person and cause a slow. In this before and after, you are going to see how to fix a crossbite of a single front tooth. A crossbite is a huge. How to avoid jaw surgery, bicuspid extraction, and braces. Sometimes people with crossbites find that chewing is very painful. The trays apply pressure to the teeth to move them into a new position. This is the same child in the.

Posting Komentar

0 Komentar